ฟันสึกกร่อนคืออะไร ทำไมถึงน่ากลัวกว่าที่คิด?
การกัดเซาะ/การสึกกร่อนของฟัน คือการสูญเสียเนื้อฟันแข็งจากปฏิกิริยาทางเคมีของกรด โดยที่ ไม่มีแบคทีเรีย เข้ามาเกี่ยวข้อง ต่างจากฟันผุที่เกิดจากกรดที่แบคทีเรียสร้างจากน้ำตาล
กรดจากอาหาร เครื่องดื่ม หรือกรดในกระเพาะอาหารจะค่อย ๆ ทำลายเคลือบฟัน ซึ่งเป็นเนื้อเยื่อที่แข็งที่สุดในร่างกายให้บางลงและอ่อนตัวลง ทำให้ฟันสึกง่ายทั้งจากการเคี้ยวและการแปรงฟัน
ระยะแรกอาจแทบมองไม่เห็น ไม่มีอาการเจ็บปวดชัดเจน แต่เบื้องหลังคือการเปลี่ยนสีฟัน ความเสียวฟัน จนไปถึงความเสียหายรุนแรงทั้งด้านการใช้งานและความสวยงาม
ยิ่งรู้เท่าทันเร็วเท่าไหร่ ยิ่งป้องกันฟันสึกกร่อนและค่ารักษาแพง ๆ ได้มากเท่านั้น
ทำไมต้องเข้าใจฟันสึกกร่อนให้ดี?
การกัดเซาะของฟัน คือการสูญเสียเนื้อฟันอย่างต่อเนื่องจากกรด โดยไม่เกี่ยวข้องกับเชื้อโรคใด ๆ กรดเหล่านี้มาจาก 2 ทางหลัก ๆ คือ
จากภายนอก: อาหารและเครื่องดื่มที่มีกรด
จากภายใน: กรดในกระเพาะอาหารที่ย้อนขึ้นมาสู่ช่องปาก
เคลือบฟันเมื่อโดนกรดซ้ำ ๆ จะอ่อนตัวลง พอโดนแรงแปรงฟันหรือแรงเคี้ยวจึงสึกหรอเร็วขึ้น ปัญหาคือมันเกิดขึ้นแบบค่อยเป็นค่อยไป ผู้ป่วยส่วนใหญ่มักมารู้ตัว เมื่อฟันสั้นลง สีเปลี่ยน หรือการบดเคี้ยวเริ่มมีปัญหาแล้ว
เมื่อปล่อยให้ฟันสัมผัสกรดเป็นเวลานานโดยไม่แก้ไข อาจตามมาด้วย
ฟันสั้นลง
รูปร่างฟันเปลี่ยนไป
ความสวยงามของรอยยิ้มเสียไป
ดังนั้น การป้องกันและการตรวจพบตั้งแต่ระยะแรกจึงสำคัญมาก การไปพบทันตแพทย์สม่ำเสมอช่วยให้ตรวจเจอสัญญาณเริ่มต้น และได้รับคำแนะนำทั้งเรื่องอาหารและสุขอนามัยช่องปากเพื่อลดความเสียหายในอนาคต
สาเหตุหลักของฟันสึกกร่อน: มาจากไหนบ้าง?
การกัดเซาะของฟัน เกิดได้จากหลายปัจจัย แบ่งง่าย ๆ เป็นปัจจัยภายนอกและภายใน
ปัจจัยภายนอก: กรดจากอาหารและเครื่องดื่ม
อาหารและเครื่องดื่มกลุ่มนี้เป็นตัวร้ายตัวสำคัญ:
เครื่องดื่มอัดลม
น้ำผลไม้ โดยเฉพาะรสเปรี้ยว เช่น มะนาว ส้ม เกรปฟรุต
เครื่องดื่มชูกำลังและเครื่องดื่มกีฬา
ผลไม้รสเปรี้ยว หรือมีกรดสูง เช่น แอปเปิล มะเขือเทศ
ถ้าดื่มหรือกินบ่อย ๆ จิบเรื่อย ๆ หรืออมไว้นานในปาก ฟันจะโดนกรดแช่ยาว เสี่ยงต่อการสึกกร่อนสูงมาก
วิธีการบริโภคก็สำคัญ เช่น การใช้หลอดช่วยลดการสัมผัสของกรดกับผิวฟันโดยตรงได้บางส่วน
ปัจจัยภายใน: กรดจากร่างกายเราเอง
โรคหรือภาวะเหล่านี้เพิ่มโอกาสฟันสึกอย่างมาก:
โรคกรดไหลย้อน (GERD)
โรคบูลิเมีย เนอร์โวซา
ภาวะที่มีการอาเจียนบ่อย
กรดในกระเพาะมีฤทธิ์กัดกร่อนรุนแรง เมื่อย้อนขึ้นมาบ่อย ๆ ฟันจะถูกทำลายอย่างต่อเนื่อง
ปัจจัยอื่น ๆ ที่หลายคนมองข้าม
การว่ายน้ำในสระที่มีคลอรีนเข้มข้นและมีความเป็นกรด
ยาบางชนิด เช่น แอสไพรินแบบเคี้ยว วิตามินซีแบบเคี้ยว
ภาวะปากแห้ง หรือน้ำลายน้อย ทำให้ความสามารถในการปรับสมดุลกรดและคืนแร่ธาตุให้เคลือบฟันแย่ลง
การรู้และเลี่ยงปัจจัยเหล่านี้ (เท่าที่ทำได้) เป็นกุญแจสำคัญในการหยุดการสึกของฟันไม่ให้ลุกลาม

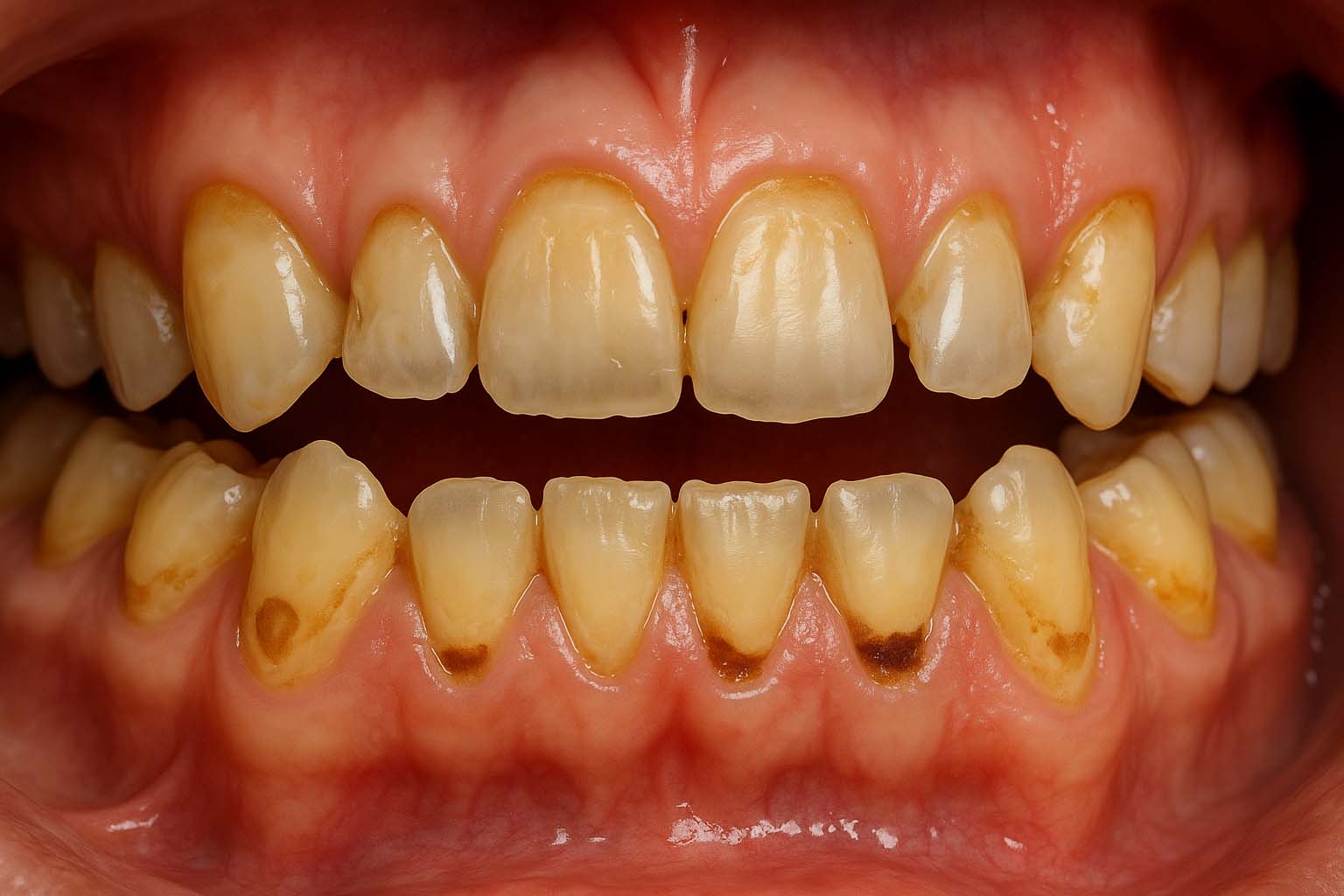
สังเกตอาการฟันสึก: รู้เร็ว รักษาง่าย
การกัดเซาะของฟัน ระยะเริ่มต้นมักเงียบจนคนส่วนใหญ่ไม่ทันสังเกต อาการจะชัดขึ้นเมื่อเคลือบฟันเสียไปมากแล้ว
สัญญาณเตือนระยะแรก
เสียวฟันง่าย เมื่อดื่มหรือกินของเย็น ร้อน หวาน หรือเปรี้ยว
ขอบฟันดู โปร่งใสขึ้น โดยเฉพาะขอบคมของฟันหน้า
สีฟันเริ่มออก เหลืองมากขึ้น เพราะเคลือบฟันบางลงจนเห็นเนื้อฟันสีเหลืองด้านใน
เมื่อเคลือบฟันสึกไป เนื้อฟันด้านในที่มีท่อเล็ก ๆ เชื่อมถึงเส้นประสาทจะสัมผัสสิ่งกระตุ้นได้มากขึ้น จึงเกิดอาการเสียวฟันง่าย
ระยะลุกลาม
ฟันดู สั้นลง แบนลง หรือมีรอยบุ๋ม บนผิวเคี้ยว โดยเฉพาะบริเวณฟันกราม
วัสดุอุดฟันสีเทา (อะมัลกัม) ดูเหมือน นูนสูงกว่าฟัน เพราะเนื้อฟันรอบ ๆ ถูกกรดกัดไปแล้ว
ถ้าคุณเริ่มเห็นสัญญาณเหล่านี้ หรือรู้ตัวว่าดื่ม–กินของเปรี้ยวหรือกรดสูงบ่อย ๆ ควรรีบนัดพบทันตแพทย์ ไม่ควรรอให้อาการปวดและความเสียหายรุนแรงก่อน
การตรวจพบตั้งแต่เนิ่น ๆ คือทางลัดในการหลีกเลี่ยงการรักษาที่ซับซ้อนและมีค่าใช้จ่ายสูง
ป้องกันฟันสึกกร่อน: เริ่มจากจานข้าวและแก้วน้ำของเรา
ข่าวดีคือ การกัดเซาะของฟันส่วนใหญ่ป้องกันได้ ด้วยการปรับพฤติกรรมไม่กี่อย่างในชีวิตประจำวัน
1. ปรับอาหารให้ “เป็นมิตรกับฟัน” มากขึ้น
- ลดปริมาณและความถี่ของการดื่ม
น้ำอัดลม
น้ำผลไม้รสเปรี้ยว
เครื่องดื่มชูกำลังและเครื่องดื่มกีฬา
ถ้าจะดื่ม ควรดื่ม พร้อมมื้ออาหาร และไม่จิบยืดเยื้อ เพราะช่วงมื้ออาหารน้ำลายจะหลั่งมาก ช่วยปรับสมดุลกรดได้ดีขึ้น
ใช้ หลอดดูด เมื่อดื่มเครื่องดื่มที่มีกรด เพื่อลดการสัมผัสกับผิวฟันโดยตรง
2. หลีกเลี่ยงการแปรงฟันทันทีหลังทานของเปรี้ยว
กรดจะทำให้เคลือบฟันอ่อนตัวชั่วคราว ถ้ารีบแปรงทันที เคลือบฟันที่อ่อนจะถูกเสียดสีออกไปง่าย
ควร
บ้วนปากด้วยน้ำสะอาด หรือนม เพื่อช่วยลดความเป็นกรด
รอประมาณ 30–60 นาที ก่อนแปรงฟัน
3. แปรงฟันให้ถูกวิธีและเลือกยาสีฟันให้เป็น
ใช้แปรงสีฟัน ขนนุ่ม
แปรงเบา ๆ เป็นวงกลม แทนการขัดแรง ๆ
เลือก ยาสีฟันผสมฟลูออไรด์ เพื่อช่วยเสริมความแข็งแรงของเคลือบฟันให้ทนต่อกรดมากขึ้น
4. จัดการโรคประจำตัวที่เกี่ยวกับกรด
หากมีปัญหาอย่าง
กรดไหลย้อน
โรคบูลิเมีย หรือภาวะอาเจียนเรื้อรัง
ควรปรึกษาแพทย์เพื่อรักษาสาเหตุร่วมกัน เพราะต่อให้ดูแลฟันดีแค่ไหน แต่กรดจากในร่างกายยังย้อนขึ้นมาบ่อย ๆ ฟันก็ยังสึกอยู่ดี
5. ตรวจฟันสม่ำเสมอ
การไปพบทันตแพทย์เป็นประจำ จะช่วยให้
ตรวจพบการสึกกร่อนตั้งแต่ระยะเริ่มต้น
ได้คำแนะนำเฉพาะบุคคลทั้งด้านอาหารและการดูแลฟัน
ด้วยการป้องกันอย่างต่อเนื่อง คุณจะลดความเสี่ยงฟันสึกกร่อนลงได้มาก และรักษาฟันให้แข็งแรงไปได้อีกนาน
ฟันสึกกร่อนเกี่ยวอะไรกับอาหารที่เรากิน?
สำหรับหลายคน อาหารคือปัจจัยหลัก หรือแทบจะเป็นปัจจัยเดียว ที่ทำให้เกิดฟันสึกกร่อน
เครื่องดื่มที่เสี่ยงเป็นพิเศษ
น้ำอัดลม
เครื่องดื่มกีฬา
เครื่องดื่มชูกำลัง
น้ำผลไม้ โดยเฉพาะรสเปรี้ยว
เครื่องดื่มเหล่านี้มีค่า pH ต่ำมาก (กรดสูง) การดื่มบ่อย ๆ หรือจิบเรื่อย ๆ ทำให้ฟันแช่อยู่ในสภาพกรดนาน เคลือบฟันจึงถูกกัดกร่อนตลอดเวลา
อาหารที่มีกรดสูง
มะนาว ส้ม เกรปฟรุต
มะเขือเทศ
ลูกอมรสเปรี้ยว ขนมเปรี้ยวต่าง ๆ
ไวน์บางชนิด
เมื่อกินบ่อย หรืออมไว้นานในปาก ความเป็นกรดเหล่านี้ก็ทำให้ฟันสึกได้เช่นกัน
อย่างไรก็ตาม อาหารไม่ใช่ตัวการเดียวโรคในระบบทางเดินอาหารและพฤติกรรมบางอย่าง เช่น การว่ายน้ำในสระที่มีคลอรีนสูง หรือการใช้ยาบางชนิด ก็มีส่วนทำให้ฟันถูกกรดกัดได้เช่นกัน
การป้องกันที่มีประสิทธิภาพต้องมองภาพรวม ทั้งอาหาร โรคประจำตัว ยาที่ใช้ และพฤติกรรมในชีวิตประจำวัน
น้ำลาย: ผู้พิทักษ์ธรรมชาติของฟันเรา
ถ้าไม่มีน้ำลายของเรา การกัดเซาะของฟันจะรุนแรงและแพร่หลายกว่านี้มาก น้ำลายมีบทบาทสำคัญหลายอย่างในการป้องกันฟันจากกรด
1. น้ำลายคือ “บัฟเฟอร์” ลดความเป็นกรด
น้ำลายมี
ไบคาร์บอเนต
ฟอสเฟต
โปรตีนบางชนิด
ที่ช่วยปรับค่า pH ในช่องปากให้กลับมาใกล้เคียงปกติหลังจากได้รับกรด ทำให้ฟันไม่ต้องเผชิญสภาพกรดเป็นเวลานาน
2. ช่วยคืนแร่ธาตุให้เคลือบฟัน
น้ำลายอุดมไปด้วยแร่ธาตุสำคัญ เช่น แคลเซียมและฟอสเฟต เมื่อเคลือบฟันถูกกรดดึงแร่ธาตุออกเล็กน้อย แร่จากน้ำลายจะช่วยคืนกลับไปบางส่วน เป็นกระบวนการที่เรียกว่า “รีมิเนอรัลไลเซชัน” ทำให้เคลือบฟันแข็งแรงขึ้น และทนต่อการโจมตีของกรดครั้งต่อไปได้ดีขึ้น
3. ล้างเศษอาหารและกรดออกจากผิวฟัน
น้ำลายช่วย
ชะล้างเศษอาหาร
ลดจำนวนแบคทีเรียและกรดบนผิวฟัน
หล่อลื่นช่องปากให้เคี้ยวและกลืนอาหารง่ายขึ้น
เมื่อมี ภาวะปากแห้ง หรือน้ำลายน้อย ความเสี่ยงฟันสึก ฟันผุ และปัญหาช่องปากอื่น ๆ จะเพิ่มขึ้นมาก
ดังนั้น การดื่มน้ำให้เพียงพอ และแก้ไขภาวะที่ทำให้น้ำลายลดลง จึงเป็นสิ่งสำคัญต่อการป้องกันฟันสึกกร่อนในระยะยาว
เมื่อเคลือบฟันเสียไปแล้ว รักษาอย่างไรได้บ้าง?
เมื่อ การกัดเซาะของฟัน ทำลายเคลือบฟันไปแล้ว การรักษาต้องอาศัยมืออาชีพ และวิธีรักษาจะขึ้นกับระดับความเสียหาย
ระยะเริ่มต้น: หยุดไม่ให้ลุกลาม
เป้าหมายคือ ชะลอหรือหยุดการสึกต่อไป โดย
ปรับอาหารและพฤติกรรมการกิน
ปรับการแปรงฟันให้ถูกวิธี
- ใช้ผลิตภัณฑ์ที่มีฟลูออไรด์ เช่น
เจลฟลูออไรด์
วานิชฟลูออไรด์
ยาสีฟันฟลูออไรด์เข้มข้น
ฟลูออไรด์ช่วยเสริมความแข็งแรงให้เคลือบฟันที่เหลืออยู่ และกระตุ้นการคืนแร่ธาตุ
ความเสียหายปานกลาง: อุดฟันเพื่อทดแทนเนื้อฟันที่หายไป
เมื่อเคลือบฟันสึกไปมากแต่ยังไม่ได้ทำให้ฟันเสียรูปมากจนใช้งานไม่ได้ อาจรักษาได้ด้วย
อุดฟันคอมโพสิต (วัสดุอุดฟันสีเหมือนฟัน) เพื่อเติมเนื้อฟันคืนให้รูปทรงและการใช้งานกลับมาใกล้เคียงปกติ
ความเสียหายรุนแรง: ครอบฟันหรือวีเนียร์
หากการกัดกร่อนส่งผลต่อ
โครงสร้างฟันหลัก
ความสวยงามของรอยยิ้ม
ความไวต่อสิ่งกระตุ้นมากผิดปกติ
อาจต้องใช้
ครอบฟัน (มงกุฎ) ครอบหุ้มฟันทั้งซี่เพื่อปกป้องและคืนการใช้งาน
วีเนียร์ แผ่นบาง ๆ ติดด้านหน้าฟันเพื่อปรับรูป ทรง สี และช่วยป้องกันเพิ่มเติม
ระยะวิกฤต: ฟันโดนทำลายถึงโพรงประสาท
ถ้าเคลือบฟันและเนื้อฟันเสียหายมากจนกระทบโพรงประสาท อาจจำเป็นต้อง
รักษารากฟัน ก่อน
จากนั้นบูรณะด้วยครอบฟันเพื่อปกป้องฟันในระยะยาว
แม้เคลือบฟันที่เสียไปจะไม่สามารถงอกกลับมาเองได้ แต่ด้วยวัสดุและเทคโนโลยีทันตกรรมสมัยใหม่ เราสามารถฟื้นฟูทั้งหน้าตาและการทำงานของฟันได้อย่างมีประสิทธิภาพ หากรักษาทันเวลา
ใช้ชีวิตกับฟันสึกกร่อน: ผลกระทบที่มากกว่าคำว่า “เสียวฟัน”
หลายคนเพิ่งมารู้ว่าตัวเองมี การกัดเซาะของฟัน ก็เมื่อคุณภาพชีวิตเริ่มได้รับผลกระทบไปแล้ว
ผลกระทบในชีวิตประจำวัน
เสียวฟันมากขึ้นเรื่อย ๆ แค่ดื่มน้ำเย็น กินไอศกรีม หรือสูดอากาศเย็นก็เจ็บ
ความสนุกในการกิน–ดื่มลดลงอย่างชัดเจน
ผลต่อความสวยงามและความมั่นใจ
ฟันดู เตี้ยลง แบน หรือลักษณะบิดเบี้ยว
สีฟันเริ่มไม่สวย เรียบเงาน้อยลง
หลายคนเริ่มไม่มั่นใจที่จะยิ้ม หรือหัวเราะเต็มปาก
ผลต่อการทำงานของฟันและขากรรไกร
เคี้ยวอาหารลำบากมากขึ้น
การสบฟันเปลี่ยน ส่งผลไปถึงข้อต่อขากรรไกร (TMJ) เกิดอาการปวดหรือเมื่อย
ในกรณีรุนแรง เนื้อฟันหรือโพรงประสาทถูกเปิด ทำให้เสี่ยงฟันผุ การติดเชื้อ และต้องรักษารากฟันหรือแม้แต่ถอนฟัน
หลายคนจึงต้อง
ปรับอาหาร เลี่ยงของที่เคยชอบ เพราะกินแล้วเจ็บ
ไปพบทันตแพทย์บ่อยขึ้น
ใช้เวลาและค่าใช้จ่ายกับการบูรณะฟันมากกว่าปกติ
อย่างไรก็ตาม ถ้าได้รับการดูแลที่เหมาะสม ติดตามผลอย่างสม่ำเสมอ และเน้นการป้องกันควบคู่กัน ก็สามารถควบคุมการลุกลามและรักษาคุณภาพชีวิตไว้ได้ดี
เด็กและวัยรุ่น: กลุ่มเสี่ยงที่พ่อแม่ห้ามมองข้าม
การกัดเซาะของฟัน ในเด็กและวัยรุ่นเพิ่มขึ้นอย่างเห็นได้ชัด ทำให้พวกเขากลายเป็นกลุ่มที่ต้องจับตาเป็นพิเศษ
พฤติกรรมการกินที่ทำให้เสี่ยง
ดื่มน้ำอัดลม เครื่องดื่มกีฬา เครื่องดื่มชูกำลังบ่อย
ดื่มน้ำผลไม้ที่โฆษณาว่า “ดีต่อสุขภาพ” แต่จริง ๆ กรดสูง
กินขนมเปรี้ยว หรือจิบเครื่องดื่มเหล่านี้เป็นเวลานานระหว่างมื้อ
ทั้งหมดนี้ทำให้ฟันอยู่ในสภาพกรดต่อเนื่องเป็นเวลานาน
ปัจจัยด้านสุขอนามัยช่องปาก
เด็กและวัยรุ่นมักยังไม่มีทักษะในการแปรงฟันที่ดีหรือสม่ำเสมอ
หลังดื่มของเปรี้ยวบางคนรีบแปรงฟันแรง ๆ ทันที ยิ่งทำให้เคลือบฟันที่อ่อนตัวสึกเร็วขึ้น
โรคและภาวะร่วมที่ต้องระวัง
โรคกรดไหลย้อนในเด็ก
โรคบูลิเมียในวัยรุ่น
จึงจำเป็นต้อง
ให้ความรู้แก่ผู้ปกครองและเด็กเรื่องความเสี่ยงของฟันสึกกร่อน
สร้างนิสัยการกินที่ดีต่อสุขภาพและการแปรงฟันที่ถูกต้องตั้งแต่อายุยังน้อย
พาเด็กไปตรวจฟันเป็นประจำ เพื่อจับสัญญาณฟันสึกตั้งแต่ระยะแรก
งานวิจัยและเทคโนโลยีใหม่ ๆ ในการสู้กับฟันสึกกร่อน
การกัดเซาะของฟัน เป็นหัวข้อวิจัยใหญ่ในวงการทันตกรรม จึงมีการพัฒนาแนวทางใหม่ทั้งในการป้องกันและการรักษาอยู่เรื่อย ๆ
วัสดุขั้นสูงสำหรับการคืนแร่ธาตุ
นอกจากฟลูออไรด์แบบเดิม ปัจจุบันมีการศึกษาและใช้
- คอมเพล็กซ์แคลเซียมฟอสเฟต เช่น
ACP (แคลเซียมฟอสเฟตแบบอะมอร์ฟัส)
CPP-ACP (เคซีนฟอสโฟเปปไทด์-แคลเซียมฟอสเฟตแบบอะมอร์ฟัส)
วัสดุเหล่านี้ถูกนำไปใช้ใน
ยาสีฟัน
น้ำยาบ้วนปาก
ผลิตภัณฑ์ดูแลฟันแบบมืออาชีพ
เพื่อช่วยฟื้นฟูเคลือบฟันอย่างมีประสิทธิภาพขึ้น
แนวคิดเลียนแบบธรรมชาติ (ชีวเลียนแบบ)
มีการพัฒนาสารและเทคนิคที่
เลียนแบบกระบวนการสร้างเคลือบฟันตามธรรมชาติ
กระตุ้นให้เกิดการสร้างแร่ธาตุใหม่คล้ายกับระบบในร่างกาย
การวินิจฉัยระยะเริ่มต้นแบบไม่ต้องเจ็บตัว
เทคนิคใหม่ช่วยให้ตรวจพบการเปลี่ยนแปลงเล็กน้อยบนผิวฟันได้ก่อนมองเห็นด้วยตาเปล่า เช่น
วิธีตรวจด้วยแสงแบบไม่รุกล้ำ
ทำให้สามารถแทรกแซงได้ตั้งแต่ต้น ลดโอกาสเกิดความเสียหายรุนแรงในภายหลัง
แนวทางรักษาแบบเฉพาะบุคคล
แนวโน้มใหม่คือการออกแบบการป้องกันและการรักษาให้เหมาะกับแต่ละคน โดยดูจาก
รูปแบบการกิน
ค่า pH ของน้ำลาย
สุขภาพโดยรวมและโรคประจำตัว
งานวิจัยยังมุ่งพัฒนาวัสดุบูรณะ (วัสดุอุด ครอบฟัน ฯลฯ) ให้
ทนต่อการกัดกร่อนดีขึ้น
สวยกลมกลืนกับฟันธรรมชาติยิ่งขึ้น
ทั้งหมดนี้ทำให้อนาคตของการดูแลฟันที่เสี่ยงต่อการสึกกร่อนดูสดใสและเป็นมิตรมากขึ้น
เมื่อไรควรไปพบทันตแพทย์ และเตรียมตัวยังไงดี?
การกัดเซาะของฟัน ต้องอาศัยการดูแลจากทันตแพทย์อย่างใกล้ชิด อย่ารอให้ฟันเสียหายหนักแล้วค่อยไป
สัญญาณว่า “ถึงเวลาไปตรวจฟันแล้ว”
เริ่มมี อาการเสียวฟัน ต่อความเย็น ร้อน หวาน หรือเปรี้ยว
- สังเกตเห็นว่า
ฟันเริ่ม เหลืองขึ้นอย่างผิดปกติ
ขอบฟันดู โปร่งใส มากขึ้น
วัสดุอุดฟันเก่าเริ่ม นูนหรือ “ไหล” ออกมาจากผิวฟัน
ถ้ามีโรคอย่างกรดไหลย้อน หรือมีพฤติกรรมกิน–ดื่มที่มีกรดสูงบ่อย ๆ ยิ่งควรพบแพทย์แม้ยังไม่เห็นอาการชัด เพื่อขอคำแนะนำเชิงป้องกัน
ก่อนพบหมอ ควรเตรียมข้อมูลอะไรบ้าง?
ทบทวน นิสัยการกินของตัวเอง
ดื่ม–กินอะไรที่มีกรดบ่อย
ความถี่และเวลาที่มักดื่ม (เช่น จิบทั้งวัน หรือกินรวมกับมื้ออาหาร)
จด อาการเสียวฟัน
เสียวเมื่อไหร่
เสียวมากน้อยแค่ไหน
อะไรทำให้ดีขึ้นหรือแย่ลง
แจ้ง ยาทุกชนิด ที่ใช้อยู่ เพราะบางตัวส่งผลต่อน้ำลายและสุขภาพช่องปาก
ยิ่งเราให้ข้อมูลชัด ทันตแพทย์ก็ยิ่งวางแผนการรักษาและการป้องกันได้ตรงจุดมากขึ้น
หลังตรวจ ทันตแพทย์อาจ
ถ่ายเอกซเรย์
ประเมินระดับการสึกกร่อน
วางแผนการรักษาและการดูแลรายวัน
ซึ่งอาจรวมถึงการปรับอาหาร การสอนเทคนิคแปรงฟัน การทาฟลูออไรด์ และหากจำเป็น การบูรณะฟันที่สึก
อย่าผัดวันไปเรื่อย ๆ เพราะสุขภาพฟันที่ดีคือส่วนหนึ่งของคุณภาพชีวิตที่ดีทั้งร่างกายและจิตใจ
สรุป: ป้องกันวันนี้ ดีกว่านั่งกังวลกับค่ารักษาในวันหน้า
เราเดินทางผ่านโลกของ การกัดเซาะของฟัน ตั้งแต่สาเหตุ อาการ ไปจนถึงการป้องกันและการรักษา จะเห็นได้ว่าปัญหานี้
เกิดได้กับทั้งเด็กและผู้ใหญ่
มักเกี่ยวข้องกับพฤติกรรมในชีวิตประจำวันของเราเอง
ประเด็นสำคัญที่อยากให้เก็บกลับไปคือ:
การป้องกันทรงพลังยิ่งกว่าการรักษา
การเข้าใจบทบาทของกรดในอาหาร การรู้จักนิสัยตัวเอง และการรักษาสุขอนามัยช่องปากที่ถูกต้อง คือ “เกราะป้องกัน” ชั้นดีของเคลือบฟัน
น้ำลายคือผู้ช่วยตัวหลัก ดูแลมันด้วยการดื่มน้ำให้เพียงพอ และถ้าจำเป็น ใช้ผลิตภัณฑ์ที่ช่วยกระตุ้นการหลั่งน้ำลาย
แม้ว่า ฟันสึกกร่อน จะเกิดขึ้นแล้ว ก็ยังไม่สายเกินไป ทันตกรรมสมัยใหม่มีทางเลือกมากมาย ตั้งแต่การฟื้นฟูแร่ธาตุในระยะเริ่มต้น ไปจนถึงการบูรณะระดับสูงที่ช่วยคืนทั้งการใช้งานและความงามให้ฟันของคุณ
อย่าลืมว่า การไปพบทันตแพทย์สม่ำเสมอคือด่านป้องกันสุดท้ายที่สำคัญที่สุด เพราะช่วยให้ปัญหาถูกจับได้เร็ว และแก้ไขได้ก่อนที่จะกลายเป็นเรื่องใหญ่
รอยยิ้มของคุณสะท้อนทั้งสุขภาพ ความมั่นใจ และความสุขในทุกวัน การดูแลฟันอย่างตั้งใจไม่ใช่แค่ป้องกันฟันสึกกร่อน แต่คือการลงทุนระยะยาวให้กับคุณภาพชีวิตของตัวคุณเอง

